Dr Alain GRACIA
Chirurgiens-dentistes à Bordeaux Parodontiste et Implantologue spécialiste des gencives et des implants dentaires
317 Boulevard du Président Wilson, 33200 Bordeaux
+33 5 56 24 44 32
Dr Alain GRACIA
Chirurgiens-dentistes à Bordeaux Parodontiste et Implantologue spécialiste des gencives et des implants dentaires

Blog - Page 3

Mandibule complète et traitement implantaire pour un bridge fixe vissé

Mandibule complète et traitement implantaire pour un bridge fixe vissé

Prothèse complète vissée sur implant

Prothèse complète vissée sur implant

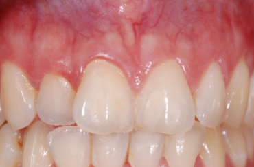
Cas clinique : Gingivite

Cas clinique : Gingivite

La prise en charge de cette patiente qui souffrait de gingivite (gencive rouge, gonflée et qui saigne facilement) a permis de rétablir une gencive saine sans signe d'inflammation.

Régénération tissulaire guidée

Régénération tissulaire guidée

Maxillaire : all-on-4

Maxillaire : all-on-4

Comblement de sinus par voie latérale et implantation simultanée

Comblement de sinus par voie latérale et implantation simultanée

Affichage des articles 13-18 sur 158

Création par Webdentiste

Connexion