Dr Alain GRACIA
Chirurgiens-dentistes à Bordeaux Parodontiste et Implantologue spécialiste des gencives et des implants dentaires
317 Boulevard du Président Wilson, 33200 Bordeaux
+33 5 56 24 44 32
Dr Alain GRACIA
Chirurgiens-dentistes à Bordeaux Parodontiste et Implantologue spécialiste des gencives et des implants dentaires

COURONNES SUR IMPLANTS

Cas 1 : Réhabilitation d'une canine de lait par un implant et une couronne

cas traité8
cas traité9

Cas 2 : Déchaussement important de l'incisive centrale droite et réhabilitation de la dent par une racine artificielle (implant) et une couronne.

cas traité10
cas traité11

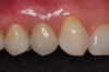
Cas 3 : La réhabilitation de l'incisive centrale droite par un implant

La réhabilitation de l'incisive centrale droite par un implant permet de répondre aux critères esthétiques et fonctionnels sans toucher les dents adjacentes et redonner l'harmonie à ce sourire.

Avant

cas traité12
cas traité13

Après

cas traité14
cas traité15
cas traité16

Création par Webdentiste

Connexion