Dr Alain GRACIA
Chirurgiens-dentistes à Bordeaux Parodontiste et Implantologue spécialiste des gencives et des implants dentaires
317 Boulevard du Président Wilson, 33200 Bordeaux
+33 5 56 24 44 32
Dr Alain GRACIA
Chirurgiens-dentistes à Bordeaux Parodontiste et Implantologue spécialiste des gencives et des implants dentaires

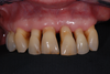
PROTHÈSES COMPLÈTES SUR IMPLANT

Les cas extrêmes de déchaussement peuvent être réhabilités grâce à des couronnes ou des bridges fixes supportés par des implants et reconstruisant toutes vos dents.

Avant

cas traité17
cas traité18

Prothèse complète

cas traité19

Après

cas traité20
cas traité21

Création par Webdentiste

Connexion