Dr Alain GRACIA
Chirurgiens-dentistes à Bordeaux Parodontiste et Implantologue spécialiste des gencives et des implants dentaires
  • PRÉSENTATION
  • LE CABINET
    • Cabinet en images
    • L'équipe
    • English
    • Italian
    • Spanish
  • HYGIÈNE ET ASEPTIE
  • CAS TRAITÉS
    • GINGIVITE
    • COURONNE SUR DENT NATURELLE
    • COURONNES SUR IMPLANTS
    • PROTHÈSES COMPLÈTES SUR IMPLANT
    • GREFFE GINGIVALE
    • FACETTES ET ÉCLAIRCISSEMENT
  • NOS VIDÉOS
  • FICHES CONSEILS
  • URGENCES
  • PLAN D'ACCÈS
  • QUESTIONNAIRE
  • CONTACT
317 Boulevard du Président Wilson, 33200 Bordeaux
+33 5 56 24 44 32
Dr Alain GRACIA
Chirurgiens-dentistes à Bordeaux Parodontiste et Implantologue spécialiste des gencives et des implants dentaires
  • PRÉSENTATION
  • LE CABINET
    • Cabinet en images
    • L'équipe
    • English
    • Italian
    • Spanish
  • HYGIÈNE ET ASEPTIE
  • CAS TRAITÉS
    • GINGIVITE
    • COURONNE SUR DENT NATURELLE
    • COURONNES SUR IMPLANTS
    • PROTHÈSES COMPLÈTES SUR IMPLANT
    • GREFFE GINGIVALE
    • FACETTES ET ÉCLAIRCISSEMENT
  • NOS VIDÉOS
  • FICHES CONSEILS
  • URGENCES
  • PLAN D'ACCÈS
  • QUESTIONNAIRE
  • CONTACT

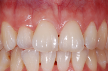
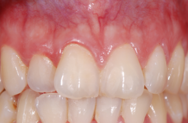
Cas clinique : Gingivite

Fiches conseil
Avant
Après

Dr Alain GRACIA

317 Boulevard du Président Wilson
33200 Bordeaux

+33556244432

En savoir +

  • Conditions Générales Utilisation
  • Mentions légales
  • Politique de confidentialité et charte cookie
  • Charte déontologique
  • Ordre national
  • Annuaires chirurgiens dentistes

Nous trouver

Recherche

Création par Webdentiste

Connexion

Vidéo en cours de lecture